Skip to main content

Carillas de Composite

y Porcelana.

Todo digital

MÁS INFO

Ventajas de la Tecnología Digital en la Creación de Carillas

La adopción de la tecnología digital en odontología ha revolucionado la manera en que se diseñan y fabrican las carillas dentales. Algunas de las ventajas más destacadas incluyen:

Precisión y Ajuste

Los escáneres digitales capturan imágenes detalladas de los dientes, permitiendo un ajuste perfecto.

Velocidad del Proceso

La tecnología CAD/CAM (Diseño y Manufactura Asistidos por Computadora) acelera la fabricación de carillas, reduciendo el tiempo de espera.

Personalización

Los softwares avanzados permiten diseñar carillas que se adaptan perfectamente a las características faciales y dentales del paciente.

Conservación del Material

La precisión digital minimiza el desperdicio de material, siendo una opción más ecológica.

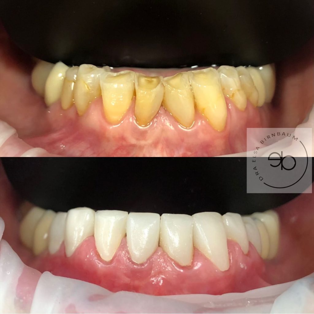
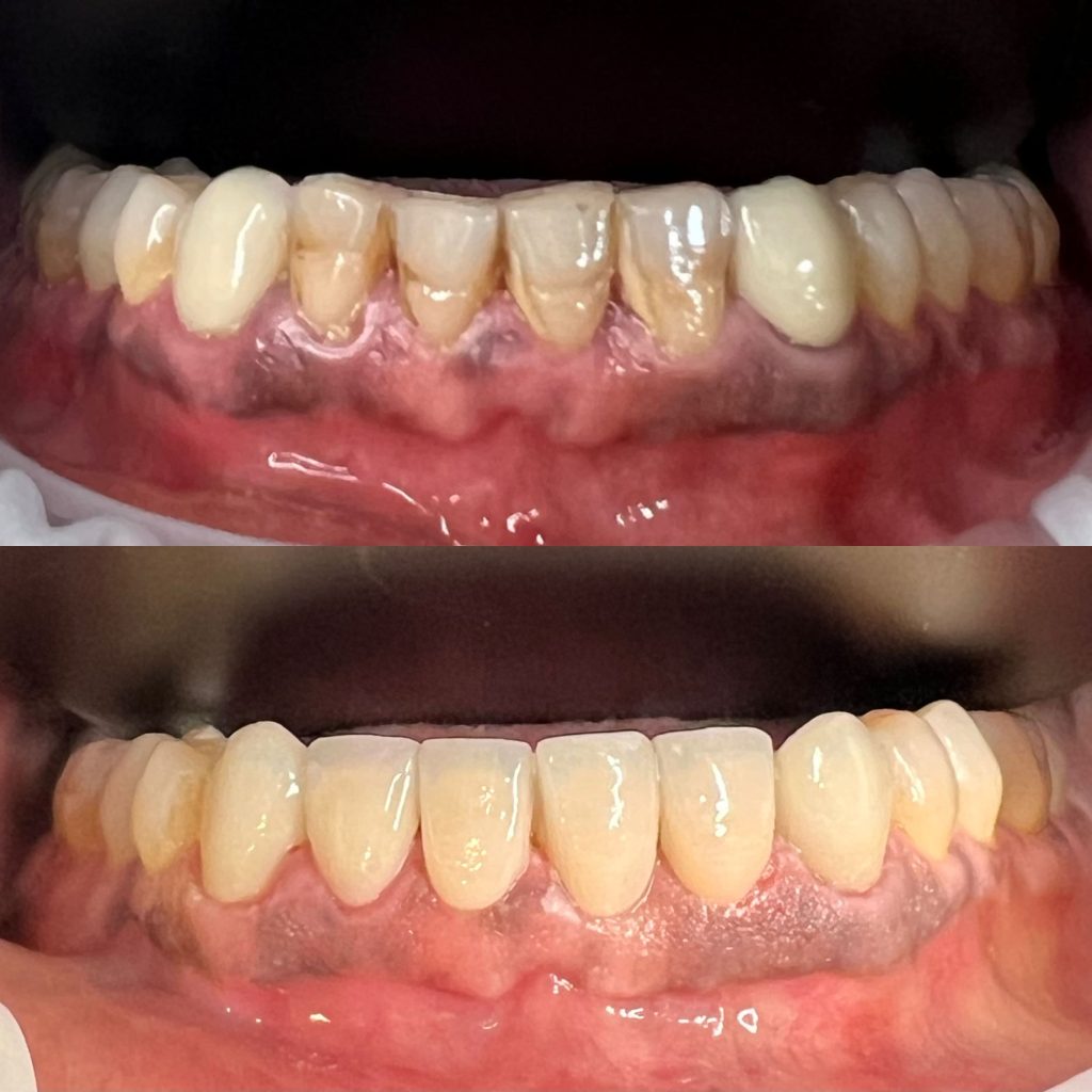
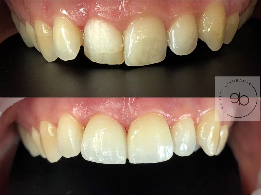
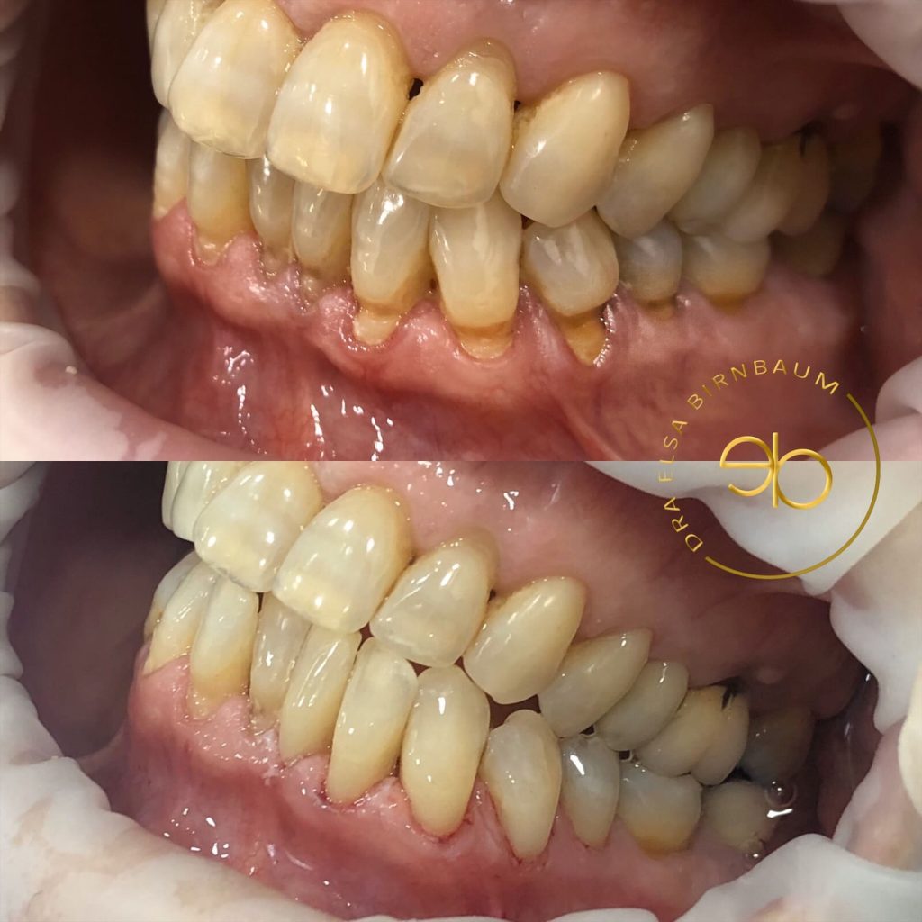
Diferencias entre Carillas de Composite y Porcelana

Material

Las carillas de composite están hechas de resinas compuestas, mientras que las de porcelana utilizan cerámica de alta calidad.

Durabilidad

Las carillas de porcelana son más resistentes y duraderas, aunque también más costosas.

Apariencia

Las de porcelana tienden a ofrecer un aspecto más natural y translúcido, mientras que las de composite pueden ser una solución más económica y rápida.

Reparabilidad

Las carillas de composite son más fáciles de reparar en caso de daño,mientras que las de porcelana suelen requerir reemplazo.

Carillas de composite y porcelana

¿Quién Debería Considerar las Carillas y Por Qué?

Las carillas dentales son una excelente opción para personas que desean corregir problemas estéticos tales como:

  • Desgaste de los dientes
  • Descoloración severa
  • Espacios entre dientes
  • Dientes fracturados o astillados
  • Asimetrías en la forma de los dientes

Aquellos que buscan una sonrisa más uniforme y estéticamente agradable pueden beneficiarse enormemente de este tratamiento.

MÁS INFO

Tratamiento de arrugas y bruxismo

Conoce a la Doctora

DOCTORA ELSA BIRNBAUM

  • Masterclass Estética facial con Ácido Hialurónico. Concepto 4 puntos. Dr. Silik.
    Madrid 2024
  • Master en Implantología v Rehabilitación Oral European School of Oral Rehabilitation, Implantology and Biomaterials Universidad de Medicina de París en colaboración con la NYU, New York University Promoción 2005-2006
  • Docente en la Universidad Camilo José Cela UCJC. 2023 “Workshop Role-play and clinical simulation in Dentistry”
  • Curso de rellenos faciales con Ácido Hialurónico Clínicas Dr.Carla Barber, 2020 Madrid
  • Seminario «Maximizando los tejidos duros y blandos» Anthogyr, 2019 Francia
    Curso «Nuevos Horizontes en carga inmediata» Anthogyr, 2018 Madrid
  • Certificación en Hilos PDO, Botox y Acido Hialurónico Dra. Ana Sanz Cerezo, 2018 Madrid
  • Especialidad en Bichectomía Orofacial Group. 2018 Brasil
  • Formación Continuada «Sedación Consciente» Consejo General de Odontologos de España. 2016
  • Licenciada en Odontología. DMD. Madrid, promoción 2000.
  • Diplomada en Implantología por la Sociedad Española de Implantes. SEI. 2005.
  • Máster en Implantología y Rehabilitación Oral por el European School of Oral Rehabilitation Implantology and Biomaterials. “ESORIB”. Universidad de Medicina de París en colaboración con la NYU New York University. 2006.
  • Especialista en Estética Dental y Experto en Composites. Universidad Complutense de Madrid. 2008.
  • Certificación en procedimientos Clínicos en Prótesis totalmente Cerámicas por la Universidad Complutense de Madrid. 2007.
  • Certificate for Lip Augmentation with Hyaluronic fillers and Botulin Toxin by Dr. David Dana DDS and Howard Katzs DDS. USA. 2006.
  • Certificación y actualización en Hilos Tensores y Ácido Hialurónico para mejora del Tercio Facial Inferior por la Dra. Ana S. Cerezo. 2018.
  • Formación en Sedación Consciente y Soporte Vital Básico por el Ilustre Colegio de Odontólogos y Estomatólogos de España. 2016.
  • Colegiada en Madrid por el Colegio de Odontólogos y Estomatólogos de la Primera Región.
Carillas de composite y porcelana

El Proceso de Obtener Carillas: De la Consulta a la Colocación Final

El proceso para obtener carillas digitales generalmente incluye los siguientes pasos:

  • Consulta Inicial: Evaluación dental y discusión de objetivos estéticos con el dentista.
  • Escaneo Digital: Uso de escáneres intraorales para capturar imágenes precisas de los dientes.
  • Diseño Digital: Creación de un modelo digital de las carillas utilizando software CAD.
  • Fabricación: Utilización de tecnología CAM para producir las carillas a partir de materiales de alta calidad.
  • Colocación Final: Ajuste y cementado de las carillas en los dientes del paciente, seguido de una evaluación final para asegurar el ajuste perfecto.
MÁS INFO
Carillas de composite y porcelana

El Proceso de Obtener Carillas: De la Consulta a la Colocación Final

El proceso para obtener carillas digitales generalmente incluye los siguientes pasos:

  • Consulta Inicial: Evaluación dental y discusión de objetivos estéticos con el dentista.
  • Escaneo Digital: Uso de escáneres intraorales para capturar imágenes precisas de los dientes.
  • Diseño Digital: Creación de un modelo digital de las carillas utilizando software CAD.
  • Fabricación: Utilización de tecnología CAM para producir las carillas a partir de materiales de alta calidad.
  • Colocación Final: Ajuste y cementado de las carillas en los dientes del paciente, seguido de una evaluación final para asegurar el ajuste perfecto.

Coste y Mantenimiento de las Carillas Digitales

El coste de las carillas digitales puede variar según el material y la complejidad del caso. Las carillas de porcelana suelen ser más costosas, pero ofrecen mayor durabilidad. En cuanto al mantenimiento:
  • Higiene Oral: Cepillado y uso de hilo dental regular.
  • Revisiones Periódicas: Visitas al dentista para chequeos y limpieza profesional.
  • Cuidados Especiales: Evitar morder alimentos muy duros o usar los dientes como herramientas.
Dirección y contacto
Tlf: 645 012 369
Email: draebirnbaum@outlook.es

Horario
lunes y miércoles de 10.00 a 14.30 y de 15.30 a 20.00
martes de 10.00 a 14.00 y de 16.00 a 20.00
jueves y viernes de 10.00 a 14.00

doctora elsa birnbaum logo

Todos los derechos Reservados a Dra Elsa Birnbaum © 

Redes:
Horario
lunes y miércoles de 10.00 a 14.30 y de 15.30 a 20.00 | martes de 10.00 a 14.00 y de 16.00 a 20.00 | jueves y viernes de 10.00 a 14.00